人工流産および子宮蓄膿症の治療
薬物をもちいた黄体破壊による人工流産および子宮蓄膿症の治療
・ONO‐1052=エストラメイト(住友製薬)
100マイクログラム/HEAD 筋注
注射後2時間以内に副作用あり、嘔吐・下痢・震え。ブスコパンでよく抑えられる。
50マイクロ/HEADの2日連続投与でも同じ効果が得られ、しかも副作用が軽減する。
“流産まで4〜5日”
・フェンプロスタレン(大日本製薬) 皮下注
100マイクログラム/HEADの1回または50マイクログラム/HEADの2日連続投与
嘔吐・下痢・悪寒 ブスコパンで抑制
本剤は大動物用・希釈液はマルゴー400
“流産まで5〜12日”
投与のタイミング
排卵後5日以内→エストラジオ−ル 0.2mg/kgで100%阻止できる。
製剤は2mg/ml, 10kgの犬で1mlの1回投与
妊娠15日以降→エストラメイトかフェノスタレン
PY0METRAを本剤で治療したときは次の発情時は必ず妊娠させ、分娩までもっていった方がPYOMETRAの再発を防げる。
発情回帰は極めて早く2ヵ月位の時もある。
・CMA(クロ−ルマジノアセテ−ト)インプラント剤による発情抑制
製剤 犬用 100mg/本 猫用 20mg/本
用法 犬・猫 とも10mg/kgで、犬で5年、猫で数年効果ある
ウサギ 10mg/kg以上がよい。
注意 インプラント後に妊娠が判明したときは本剤を速やかに取り出さなければならない。
分娩が遅延し、胎児および母体に悪影響を及ぼす。
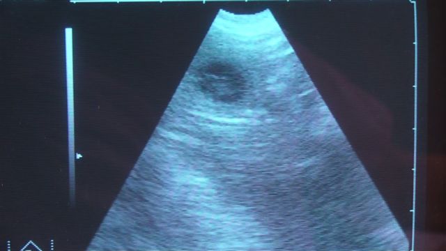
妊娠診断 超音波検査

妊娠22日目 羊水が1cmくらいの球状で確認できる

膀胱以外の水がたまっているところを探す。この犬は3個以上確認できた。エコーでの妊娠診断は30日以降で行う