ウサギ 毛球症2
ウサギは結構な頻度でグルーミング(毛繕い)をする。
換毛期の抜け毛の量は餌の量より多くなり胃の中で毛玉になりやすい。
猫の場合は吐くことができるが、ウサギは吐くことができないので、
胃内にたまり食欲不振を引き起こす。
アンゴラなどの長毛種は特になりやすい。
十分な予防処置の必要性を飼い主に指導する。
野生の場合は抜け毛があっても草などですれて自然に抜けるので、ペットの場合はブラッシングが必須になる。

換毛期中のウサギ:抜け毛が多い
症状
食欲不振、元気喪失、便の量の減少、胃穿孔で急死 、重度の幽門狭窄で沈鬱、胃内ガスの貯留、脱水、ショック
診断
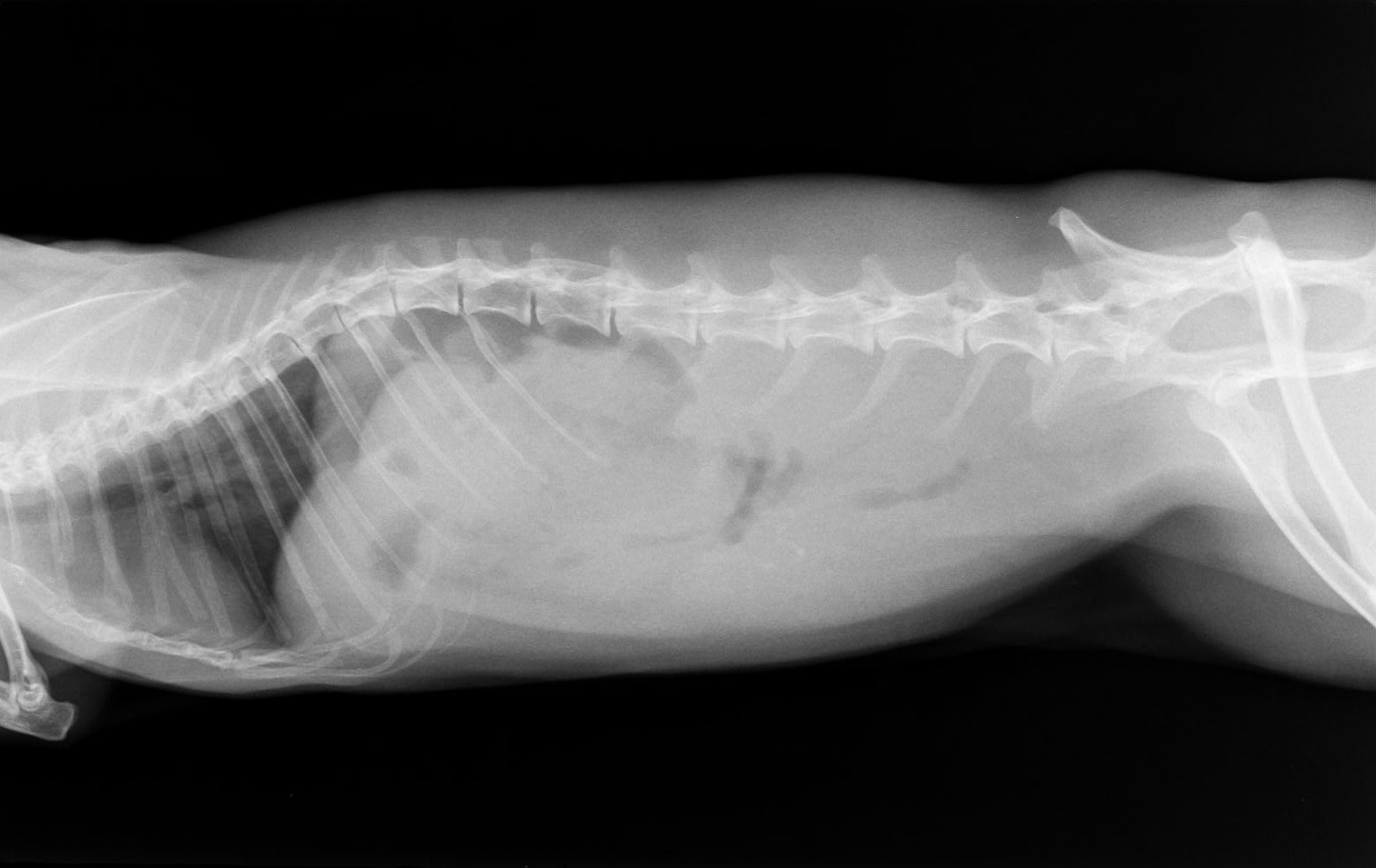
触診で胃の大きさをチェック、レントゲン上で食事していないのに胃内に異物が入っていることを確認する
半日以上食べていないのに、胃内にものが確認できる場合は毛球症の可能性が高い。
バリウム造影で胃内要物の停滞を確認する
食欲不振のウサギ、食べていないのに胃内に内容物がかなり入っている。盲腸部位にはガスが出ていないので比較的短期間で悪化したことを示している。
治療・予防
1.ブラッシングして毛の飲み込む量を少なくする。
2.パイナップルやパパイヤには毛を溶かす酵素が含まれているので乾燥フルーツを与える。
3.ラキサトーンやペトロモルトなどの毛をほぐして流す薬を与える。
4.プリンペランで胃腸の運動を活発にし、ペリアクチンで食欲を増進させる
5.強制給餌 MSパフォーマンスなどの高栄養のドライフードを水に浸しレンジでふやかしたものを食べさせる。10gを4回以上 便の量が回復するまで続ける
6.腸閉塞を起こした場合は、胃切開、閉塞部位の解除を行う、術後のケアが重要 腸を再稼働させて運動させることに重点を置く

ブラッシングするとこれだけの量の抜け毛を回収できる。これをウサギに毛繕いさせてはいけない。